JOMI logo
jkl keys enabled

Left Elbow Exploration and Hardware Removal with Ulnar Nerve Decompression, Cubital Tunnel Release, and Anterior Subcutaneous Transposition of the Ulnar Nerve

Abstract

Distal humeral fractures are injuries worldwide with operative fixation being the preferred method of treatment. Ulnar neuropathy is one of the possible complications of surgery, and may require an additional surgery to achieve symptom resolution. In this video, Dr. Agarwal-Harding manages a patient who was previously treated with open reduction and internal fixation of a distal humerus fracture, but his recovery was complicated by ulnar neuropathy. He performs an ulnar neurolysis, hardware removal from the medial column of the distal humerus, and anterior transposition of the ulnar nerve with an adipofascial flap. Surgical considerations, including rationale and treatment options, are discussed.

Keywords

Ulnar nerve compression; cubital tunnel syndrome; distal humeral fracture; ulnar nerve entrapment.

Case Overview

Background

Traumatic injuries to the upper limb are a common cause of presentation to the orthopedic surgeon. Of these, distal humeral fractures have an incidence of 5.7 per 100,000, with projections of at least a three-fold rise in incidence by 2030.1,2 These rates are noted to be higher in the United States, with a reported incidence of 68 per 100,000 adults aged 65 years and older.3 Young males between 12–19 years old and older females over 80 years old most often present with this injury, usually from high-energy trauma or osteoporosis-influenced low-energy trauma respectively.1

Historically, these injuries were treated conservatively; however, modern orthopedic surgical practices now favors operative intervention, with multiple reports indicating excellent long-term outcomes.4,5 The optimal surgical approach and method of fixation are the subject of debate among orthopedic surgeons; however, the ultimate aim is to ensure congruent articular reduction, which is facilitated by adequate exposure of fracture components, and which maximizes the chances of functional recovery of the elbow.6

While operative fixation of distal humeral fractures is currently the preferred method of repair, this is not without possible complications. One such complication is compression or entrapment of the ulnar nerve at the elbow following fracture repair, which occurs in almost 25% of patients.7 Symptoms include numbness and paresthesia in the ulnar distribution of the hand, as well as weakness and even wasting of the intrinsic hand musculature. This can be bothersome and quite debilitating, reducing the fine motor function of the hand.

The ulnar nerve lies in close proximity to the distal humerus medial epicondyle, and it must be identified, protected, and retracted during fracture fixation surgery. After placement of plates and screws along the medial column of the distal humerus, the ulnar nerve is frequently near this hardware if placed back in its anatomically original location. While some have advocated routine transposition of the nerve, this remains controversial, with some reporting higher rates of ulnar nerve symptoms with transposition than without it.8–10 Manipulation of the nerve intraoperatively, proximity of hardware, and scar tissue formation may all contribute to ulnar neuropathy postoperatively. If these symptoms fail to resolve after 3 months, a patient may benefit from surgical intervention to decompress the ulnar nerve and thus improve symptoms.

In this patient, we performed an ulnar nerve release with anterior transposition and removal of the medial column plate. We also created an adipofascial flap or sleeve to wrap the ulnar nerve and protect it in its anteriorly transposed position. This helps to create a cushion, reduce scarring, and reduce the risk of recurrence.

Focused History of the Patient

The patient is a 68-year-old gentleman who presented with an 8-month history of symptoms suggestive of compressive ulnar neuropathy and electromyography (EMG) findings concerning for cubital tunnel syndrome. He underwent open reduction and internal fixation of a left distal humerus fracture and thereafter developed some numbness and tingling in the fourth and fifth digits on that side. Other pertinent medical history included type 1 diabetes mellitus and hypertension.

Physical Exam

At the presentation to our clinic, he was well-appearing, in no distress with normal affect. The skin temperature and color were noted to be normal in both upper limbs. Examination of the patient's left elbow revealed a functional range of motion from 20–130 degrees. There was diminished sensation in the ulnar nerve distribution, but he was able to fire the dorsal interosseous muscles. Froment's sign was equivocal, with some mild weakness noted.

Imaging

Imaging is essential to assess the integrity of the ORIF construct. Radiographs are done with lateral and slightly modified anteroposterior (AP) views. The AP view involves flexion of the elbow to about 40 degrees to allow the olecranon to move out of the way, allowing the distal humerus to be better visualized.6 There has been increasing interest in the use of computed tomography (CT) scans, particularly 3D reconstructions when there is articular involvement.11

Electromyography (EMG)

An electromyography may be performed in patients with this presentation, as was done in our index patient. This is to confirm ulnar neuropathy and location of compression at the elbow.

Natural History

Like many nerve entrapment syndromes, if left untreated, the patient may experience a worsening of their symptoms. Tingling, numbness, and pain may be seen, accompanied by progressive weakness of the intrinsic muscles of the hand that are innervated by the ulnar nerve.

Options for Treatment

Operative intervention is the mainstay of treatment in cases of persistent symptoms as in this patient. This involves the release of the nerve and transposition away from the scarred bed of tissue and into a virgin area to minimize compression and recurrence of scarring and compression.

Rationale for Treatment

The combination of symptom persistence after 8 months, patient discomfort, and interference with activities of daily living were the primary indications for surgery for this patient. Additionally, physical examination was corroborated with EMG findings which confirmed severe ulnar nerve compression at the elbow, which supported the decision for surgery. It is important to note that while intervention for this complication is typically done at about 12 weeks or 3 months, patients may present or be referred to the clinic after a longer time interval as in this case.

Removal of the medial plate may not always be necessary; however, we felt that in this case the medial plate was quite prominent so its removal in the context of a healed fracture would help to relieve some of the patient’s symptoms. Pre-op x-rays are included The creation of an adipofascial sleeve around the transposed nerve we believe helps the nerve glide easily as the patient moves the upper limb and prevents recurrent nerve compression from scarring and fibrosis. The technique, in brief, is thus described here. A posteromedial incision is made over the medial epicondyle and extended 8–10 cm proximally and 4–5 cm distally. The ulnar nerve is identified proximally, just posterior to the medial intermuscular septum, after careful blunt dissection. It is then further dissected in an antegrade fashion taking care to keep the vascular supply of the epineurium intact. After the nerve is mobilized and transposed anteriorly, attention is turned to the adipofascial flap. The flap, with vascular supply in place, is carefully wrapped posterior-to-anterior and sutured to create a tunnel that surrounds the entire nerve length. Finally, ranging of the elbow is done to ensure the nerve is not kinked. This technique has been well-described in the literature with specific application in cases like this one.12–14


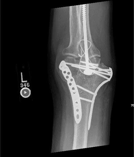
Figure 1. AP view of the Left elbow x-ray showing the position of the plates pre-op.


Figure 2. Lateral view of the Left elbow x-ray showing the position of the plates pre-op.

Discussion

Ulnar neuropathy is a well-recognized complication of distal humeral fracture fixation surgery, with an incidence rate of 19.3%.15 Many authors have argued that this incidence may be related to the decision to anteriorly transpose the ulnar nerve or not during the index surgery,7,9 but others have disputed this, concluding that the handling of the ulnar nerve in the index surgery16,17 or the choice of surgery18 does not significantly influence the development of ulnar neuropathy. A recent meta-analysis conducted by Shearin et al15 found a higher incidence of ulnar neuropathy among those who had a transposition in the index surgery compared to those who did not (23.5% vs 15.3%, respectively).

Our patient was a 68-year-old gentleman with an intra-articular distal humeral fracture fixed with open reduction and internal fixation, without ulnar nerve transposition in the index surgery. He presented during follow-up with persistent numbness and tingling in the distribution of the ulnar nerve. It should be noted that ulnar paresthesia can be present postoperatively, probably related to nerve handling, and often resolves on its own. In the index surgery, a standard posterior approach, which has been suggested to be protective for postoperative neuropathy,10 was utilized with the ulnar nerve protected throughout the procedure. It is standard practice to dissect and move the ulnar nerve out of the cubital tunnel during initial fracture fixation to allow for safe fracture reduction and placement of the plates.

While ulnar nerve transposition in index ORIF of distal humeral fracture surgery remains a subject of debate,19 it is generally agreed that operative intervention may be necessary to achieve a resolution of postoperative ulnar nerve entrapment. In such cases, careful dissection and exposure is of highest importance, typically with identification of the nerve at the medial edge of the triceps at the proximal aspect of the wound, then proceeding in an antegrade manner from about 8 cm proximal, to 8–12 cm distal to the medial epicondyle.20 As was done in this surgery, it may be helpful to resect the intermuscular septum and other areas of fibrosis that may be a source of kinking or future compression of the nerve in its anteriorly transposed position.

Finally, it is of utmost importance to minimize the risk of iatrogenic injury and devascularization of the ulnar nerve during this procedure. This may be achieved by minimizing disruption of the epineurium and epineural blood supply. The nerve is also commonly tagged with a VessiLoop, and aggressive manipulation is minimized. Where possible, accompanying vascular structures should be kept intact to lower the incidence of iatrogenic injury.21

Equipment

VessiLoops to tag and gently retract the ulnar nerve.

Disclosures

None.

Statement of Consent

The patient referred to in this video article has given their informed consent to be filmed and is aware that information and images will be published online.

Citations

  1. Robinson CM, Hill RMF, Jacobs N, Dall G, Court-Brown CM. Adult distal humeral metaphyseal fractures: epidemiology and results of treatment. J Orthop Trauma. 2003;17(1):38-47. doi:10.1097/00005131-200301000-00006.
  2. Palvanen M, Kannus P, Niemi S, Parkkari J. Secular trends in the osteoporotic fractures of the distal humerus in elderly women. Eur J Epidemiol. 1998;14(2):159-164. doi:10.1023/a:1007496318884..
  3. Kim SH, Szabo RM, Marder RA. Epidemiology of humerus fractures in the United States: nationwide emergency department sample, 2008. Arthritis Care Res. 2012;64(3):407-414. doi:10.1002/acr.21563.
  4. Doornberg JN, van Duijn PJ, Linzel D, et al. Surgical treatment of intra-articular fractures of the distal part of the humerus. Functional outcome after twelve to thirty years. J Bone Joint Surg Am. 2007;89(7):1524-1532. doi:10.2106/JBJS.F.00369.
  5. Nauth A, McKee MD, Ristevski B, Hall J, Schemitsch EH. Distal humeral fractures in adults. J Bone Joint Surg Am. 2011;93(7):686-700. doi:10.2106/JBJS.J.00845.
  6. Beazley JC, Baraza N, Jordan R, Modi CS. Distal humeral fractures-current concepts. Open Orthop J. 2017;11:1353-1363. doi:10.2174/1874325001711011353.
  7. Ruan HJ, Liu JJ, Fan CY, Jiang J, Zeng BF. Incidence, management, and prognosis of early ulnar nerve dysfunction in type C fractures of distal humerus. J Trauma. 2009;67(6):1397-1401. doi:10.1097/TA.0b013e3181968176.
  8. Ahmed AF, Parambathkandi AM, Kong WJG, et al. The role of ulnar nerve subcutaneous anterior transposition during open reduction and internal fixation of distal humerus fractures: a retrospective cohort study. Int Orthop. 2020;44(12):2701-2708. doi:10.1007/s00264-020-04745-0.
  9. Chen RC, Harris DJ, Leduc S, Borrelli JJ, Tornetta P, Ricci WM. Is ulnar nerve transposition beneficial during open reduction internal fixation of distal humerus fractures? J Orthop Trauma. 2010;24(7):391-394. doi:10.1097/BOT.0b013e3181c99246.
  10. Oshika Y, Takegami Y, Tokutake K, Yokoyama H, Oguchi T, Imagama S. Ulnar nerve neuropathy after surgery for intraarticular distal humerus fractures: an analysis of 116 Patients. J Hand Surg. 2023;48(11):1171.e1-1171.e5. doi:10.1016/j.jhsa.2023.02.001.
  11. Doornberg J, Lindenhovius A, Kloen P, van Dijk CN, Zurakowski D, Ring D. Two and three-dimensional computed tomography for the classification and management of distal humeral fractures. Evaluation of reliability and diagnostic accuracy. J Bone Joint Surg Am. 2006;88(8):1795-1801. doi:10.2106/JBJS.E.00944.
  12. Danoff JR, Lombardi JM, Rosenwasser MP. Use of a pedicled adipose flap as a sling for anterior subcutaneous transposition of the ulnar nerve. J Hand Surg. 2014;39(3):552-555. doi:10.1016/j.jhsa.2013.12.005.
  13. Verveld CJ, Danoff JR, Lombardi JM, Rosenwasser MP. Adipose flap versus fascial sling for anterior subcutaneous transposition of the ulnar nerve. Am J Orthop Belle Mead NJ. 2016;45(2):89-94.
  14. Riccio M, Gravina P, Pangrazi PP, Cecconato V, Gigante A, De Francesco F. Ulnar nerve anteposition with adipofascial flap, an alternative treatment for severe cubital syndrome. BMC Surg. 2023;23(1):268. doi:10.1186/s12893-023-02173-6.
  15. Shearin JW, Chapman TR, Miller A, Ilyas AM. Ulnar nerve management with distal humerus fracture fixation: a meta-analysis. Hand Clin. 2018;34(1):97-103. doi:10.1016/j.hcl.2017.09.010.
  16. Vazquez O, Rutgers M, Ring DC, Walsh M, Egol KA. Fate of the ulnar nerve after operative fixation of distal humerus fractures. J Orthop Trauma. 2010;24(7):395-399. doi:10.1097/BOT.0b013e3181e3e273.
  17. Worden A, Ilyas AM. Ulnar neuropathy following distal humerus fracture fixation. Orthop Clin North Am. 2012;43(4):509-514. doi:10.1016/j.ocl.2012.07.019.
  18. Seok HG, Park JJ, Park SG. Comparison of the complications, reoperations, and clinical outcomes between open reduction and internal fixation and total elbow arthroplasty for distal humeral fractures in the elderly: a systematic review and meta-analysis. J Clin Med. 2022;11(19):5775. doi:10.3390/jcm11195775.
  19. Lauder A, Richard MJ. Management of distal humerus fractures. Eur J Orthop Surg Traumatol Orthop Traumatol. 2020;30(5):745-762. doi:10.1007/s00590-020-02626-1.
  20. Felder JM, Mackinnon SE, Patterson MM. The 7 structures distal to the elbow that are critical to successful anterior transposition of the ulnar nerve. Hand NY. 2019;14(6):776-781. doi:10.1177/1558944718771390.
  21. Tangtiphaiboontana J. In situ ulnar nerve decompression alone for distal humerus fractures minimizes iatrogenic injury. J Orthop Trauma. 2023;37(5):e233-e234. doi:10.1097/BOT.0000000000002589.